Преимущества имплантации по шаблону через прокол в десне
Главное отличие имплантации по шаблону через прокол?





Мы постепенно отказываемся от классической имплантации, потому что считаем ее недостаточно безопасной для большинства пациентов. Большинство имплантаций мы осуществляем через прокол в десне с использованием хирургического шаблона. При этом стоимость услуг по имплантации не отличается. В результате пациент получает качественно новый уровень лечения практически за те же деньги. Имплантация через прокол может быть выполнена с помощью нескольких имплантационных систем и у пациента всегда остается право её выбора.
Имплантация по шаблону через прокол шаг за шагом

-
3D томография
Трехмерная компьютерная томография позволяет увидеть все особенности костной ткани конкретного пациента, в том числе объем и плотность
-
3D сканирование полости рта
На основе трехмерного сканирования ротовой полости пациента создается точная трехмерная модель слизистой оболочки полости рта
-
Планирование операции
В компьютерной программе, разработанной ведущим европейским стоматологическим университетом, производится выбор наиболее безопасного места установки имплантата
-
Выбор имплантационной системы
На основе полученных на этапах 1 и 2 данных подбираются оптимальные варианты имплантационных систем с учетом индивидуальных особенностей конкретного пациента
-
Моделирование шаблона
В этой же программе производится 3D-моделирование хирургического шаблона, который идеально совмещается с ротовой полостью пациента и жестко задает ось установки будущего имплантата
-
Печать шаблона
Выполняется печать индивидуального хирургического шаблона на высокоточном 3D-принтере. Точность печати менее 10 мкм
-
Установка имплантата
Установка имплантата по хирургическому шаблону осуществляется в строго запланированное место. Безопасно. Никаких разрезов, просто прокол в десне


- Технология осуществления оттиска доставляет немалый дискомфорт пациенту
- Качество модели напрямую зависит от аккуратности зубного техника
- Позиционирование осуществляется «на глаз» без учета индивидуального внутреннего строения челюсти
- Итоговая погрешность шаблона может достигать нескольких миллиметров

- Быстрое, точное и наглядное моделирование шаблона на основе данных ЗD-томографа и внутриротового сканирования (учитываются все индивидуальные особенности внутреннего строения челюсти пациента)
- Идеально точная печать шаблона с использованием ЗD-принтера
- Итоговая погрешность не превышает толщину человеческого волоса
Почему имплантация через прокол в десне с использованием шаблона безопаснее?
Более 90% осложнений при имплантации никак не связаны с имплантационной системой, а зависят от точности установки имплантата. Любой имплантат должен быть установлен на определенный угол и глубину и чем точнее это сделано, тем меньше проблем будет у пациента. Любой перекос имплантата может вызвать осложнения. Сравните сами. При классической имплантации точность установки имплантата составляет не более 3 мм. Имплантация с шаблоном позволяет установить имплантат с точностью 10 микрон, что в 300 раз точнее, а значит в 300 раз безопаснее.



Варианты применения имплантации по шаблону



Имплантация по шаблону через прокол в десне против классического метода имплантации


Опытная команда врачей-стоматологов
В нашей клинике над имплантацией с начального этапа планирования работает два специалиста: стоматолог-ортопед и хирург-имплантолог. Такой подход позволяет исключить вероятность неточных стыковок зубных конструкций при передаче пациента от одного специалиста другому.



Стоимость имплантации через прокол
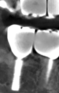
Примеры работ по имплантации по шаблону без разрезов и швов








Часто задаваемые вопросы
-
1.Что значит имплантация по шаблону без операции?
Это значит, что мы не будем разрезать Вам десну и ее не потребуется зашивать после выполнения имплантации. Благодаря этому уменьшается травматичность имплантации и значительно сокращается период реабилитации пациента.
-
2.Вы не будете сверлить кость? Имплантат также заворачивается в кость? Тогда в чем разница?
Кость сверлится в любом случае, так как в этом заключается суть имплантации. Имплантат вкручивается в костную ткань, в которой предварительно делается отверстие. Прокол выполняется не в кости, а в десне. Говоря иначе, новый метод имплантации позволяет заменить большой разрез десны на микроскопический прокол. Основная опасность имплантации кроется не в сверлении кости, а в точности установки имплантата и в разрезах мягких тканей. Имплантация через прокол позволяет обойтись без разрезов мягких тканей и увеличить точность в 300 раз.
-
3.Если вы не делаете разреза в десне, то как устанавливается имплантат?
Имплантат вводится через прокол в десне при помощи специальных инструментов.
-
4.Чем ваши хирургические шаблоны отличаются от других?
Одни их первых в Челябинске мы внедрили полностью цифровой метод изготовления шаблонов и отказались от использования зубных слепков в их производстве. Наши шаблоны производятся без использования слепков. Такой подход позволяет выполнить имплантацию в 20 раз точнее, а значит в 20 раз безопаснее.
-
5.Какие ограничения по возрасту для имплантации?
Ограничений по возрасту не имеется. Мы делали имплантацию пациентам в возрасте старше 80 лет и они не испытывали никаких проблем. Однако ограничения могут быть связаны с состоянием здоровья пациента, поэтому перед имплантацией необходимо обязательно проконсультироваться с врачом и пройти необходимое обследование.
-
6.Какую имплантационную систему можно использовать для имплантации через прокол?
Для имплантации через прокол не требуется какая-то особенная имплантационная система. Ноу-хау заключается в методе установки имплантата с использованием современных компьютерных технологий и особого типа хирургического шаблона. При этом может быть использована любая имплантационная система.
Имплантационные системы и цены:

- Отлично подходят для замещения как одного зуба, так и нескольких
- Допускается установка имплантата сразу после удаления зуба
- Протокол установки предотвращает травмирование кости
- Структура наружного слоя Fiadent Plus, схожая со структурой кости, обеспечивает легкое приживление
- Универсальные абатменты для верхней и нижней челюсти
- Специальный дизайн внутреннего конуса имплантата позволяет более равномерно распределять нагрузку
- Наличие пожизненной гарантии от производителя
- Глубина установки данного имплантата позволяет избежать дополнительных костных пластик

- Пожизненная гарантия на имплант
- Сохранение маргинального костного слоя
- Ускорение заживления
- Сохранение мягких тканей десны
- Наличие пожизненной гарантии от производителя
- Данный имплантат хорошо приживается даже в костной ткани с недостаточной плотностью
- Резьба этого импланта оказывает минимальное повреждающее воздействие на костную ткань
Отзывы (85)



































Я искренне благодарна доктору за то, что он смог спасти мой зуб. Игорь Сергеевич все сделал очень качественно, без боли и дискомфорта. Теперь я доверяю здоровье своих зубов только Игорю Сергеевичу. Спасибо ему за профессионализм!

Поиски хорошего частного стоматолога привели меня в "Доминанту" к Гурбанову Игорю Сергеевичу. Жаль что я не знал о нем раньше, удалось бы избежать столько проблем. Перво наперво в глаза бросается душевное отношение персонала. После ортопантомограммы выяснилось что удалял я раньше почти здоровые зубы. Более месяца продолжалось восстановление былого здоровья. Теперь одного стоматолога я точно не боюсь и обследуюсь только у Игоря Сергеевича. Тем более лечение с помощью микроскопа внушает еще большую уверенность в качестве осмотра.

Удалила мой зуб мудрости в один момент, я даже не успела ничего почувствовать, хотя до этого несколько дней мучилась с острой зубной болью. Я обратила внимание, что доктору даже не потребовалось делать никаких разрезов! Оксана Николаевна поставила только один обезболивающий укол, мастерски «подцепила» мой зуб и удалила его одним движением. Вот что значит профессионализм! Отека не было, на осмотр шла в прекрасном настроении. Спасибо большое такому замечательному доктору, обязательно буду рекомендовать всем знакомым!

Соблюдаю все рекомендации доктора, в последнее время хожу только на профилактические приемы. Рад, что нахожусь под контролем настоящего профессионала своего дела.




В наше время визитная карточка любой девушки – белоснежная голливудская улыбка, поэтому я внимательно слежу за своими зубками. Любовь Анатольевна качественно выполняет как гигиеническую чистку, так и отбеливание зубов. На корпоративе хотела ослепить всех белизной своих зубов. Мне это удалось! Благодаря бережному отбеливанию мои зубки не только стали заметнее на несколько тонов, но и остались здоровыми. Болевых ощущений практически не было, только небольшой дискомфорт после процедуры. Несколько дней я соблюдала «белую диету»: исключила все красящие продукты, кофе и чай. Результат того стоил! На фото улыбка вышла действительно голливудской, а коллеги засыпали комплименты по поводу белизны моих зубок! Проверено на себе! От всей души рекомендую Любовь Анатольевну.


Я была настроена на длительное лечение, как в больнице по месту жительства. К счастью, в «Доминанте» все делают быстро, качественно, безболезненно, с добрым отношением. Благодарю за ваш труд, Оксана Николаевна! Теперь я не боюсь стоматологов, как прежде.













Я очень волновалась и переживала, но все опасения оказались напрасными. Ольга Оттовна провела осмотр, сделала снимок, у меня оказался глубокий кариес одного зуба, еще немного и - был бы пульпит. Зуб нужно было лечить с применением микроскопа. Перед началом доктор подробно рассказала о всех своих действиях. Во время лечения постоянно интересовалась моим самочувствием, проявила искреннее сопереживание ко мне.
Я очень боялась, но больно не было совсем. Зуб был сложным и практически весь разрушен внутри. Ольга Оттовна буквально спасла его! Благодаря душевному подходу врача, я теперь не боюсь лечить зубы, рада, что нашла «своего доктора». Всем рекомендую Лавриенко Ольгу Оттовну и клинику «Доминанта». Большое спасибо!






После первого же посещения она убедила меня в необходимости постановки зубного имплантанта. Мне она предложила новый совершенно безопасный метод прокола. После сдачи и анализов мне был назначен день приема. Вот так за один день я стала обладательницей зуба, ничем не отличающего от моих родных. Огромное спасибо специалистам клиники за качественно проделанную работу.


В назначенное время я пришла на прием. Сначала мне сделали 3D сканирование. После него я приготовилась к долгому ожиданию. Но как оказалось на всю процедуру потребовалось не больше часа.
После консультации по уходу за установленным зубом врач отправила меня домой. При этом она объяснила, что до полного заживления слизистой пройдет около недели и что в это время зуб надо беречь особенно тщательно. Как оказалось впоследствии все неприятные ощущения прошли уже на 3 день.










Доверившись Борису Валерьевичу, я получила отличный результат. Коронку поставил быстро и безболезненно, осмотрел всю полость рта, дал рекомендации по лечению и профилактике полости рта. Борис Валерьевич – доктор, который очень внимательно относится к своим пациентам. Теперь рекомендую его всем своим друзьям и знакомым, которые пока не решаются на протезирование.

Кроме того, для себя отметил, что Игорь Сергеевич - это человек, который всегда рад пациенту и встречает его в отличном настроении, поэтому на прием к нему ходил с удовольствием. Благодарю за такое душевное отношение к пациентам. Раньше я обращался в поликлинику по месту жительства, к сожалению там такого внимания к моей проблеме не было. Благодаря Игорю Сергеевичу, меня больше не беспокоят зубные боли. Теперь я занимаюсь только профилактикой.

Я давно мучаюсь парадонтозом: к кровоточивости десен мне не привыкать. Мое единственное спасение – это грамотная профилактика полости рта. Была, наверное, уже у тысячи стоматологов на приеме, искала своего специалиста. И наконец, нашла! Гигиену Любовь Анатольевна выполнила практически безболезненно, также зубки стали светлее на тон. Доктор бала очень внимательна к моей проблеме: ответила на все мои вопросы по уходу за полостью рта в домашних условиях, порекомендовала средства профилактики специально для десен, склонных к кровоточивости. Я осталась очень довольна! Всем рекомендую этого доктора.

Она смогла меня удивить, действительно качественно отбелила мои зубки. Они стали красивыми, белыми и здоровье зубов не пострадало. На работе коллеги сразу заметили мои красивые зубы. Во время процедуры болей практически не было, единственное после процедуры был дискомфорт некоторое время и несколько дней мне пришлось отказаться от чая и кофе. Но результат стоит таких усилий. Могу всем смело рекомендовать Любовь Анатольевну!

Меня постоянно беспокоит кровоточивость десен, поэтому прохожу профилактику полости рта. Данного специалиста посоветовала мне коллега по работе. Любовь Анатольевна мне сразу понравилась: внимательно задавала вопросы о том, как я ухаживаю за зубами, вежливо разговаривала со мной. Она мне сделала гигиену без боли, зубы после процедуры заметно побелели. Она мне дала ценные рекомендации по уходу за зубами, а также посоветовала средства против кровоточивости десен. Стоматолог просто отличный! Рекомендую!

В течение месяца я ходил на приемы, но самое главное, что зуб удалось спасти! Лечение было комфортным и безболезненным. Понравился подход доктора, теперь все мои родные и близкие наблюдаются у Ольги Оттовны в «Доминанте». Спасибо большое любимому доктору!


В итоге всё прошло хорошо, боли я не чувствовала. Врач профессионально орудовал инструментами, особенно микроскопом. Зуб теперь как новенький, такой же белый, как и раньше. Благодарю за лечение!
